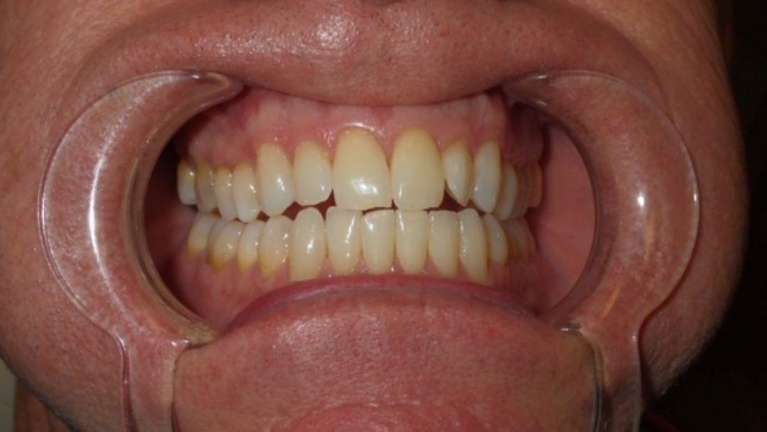
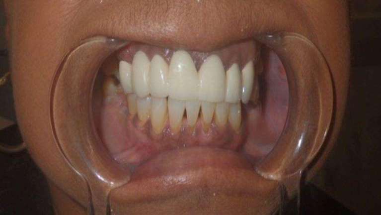
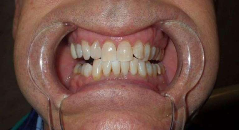
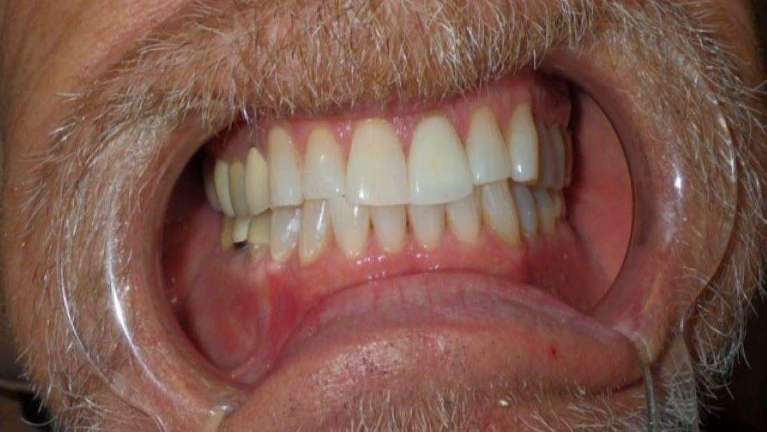
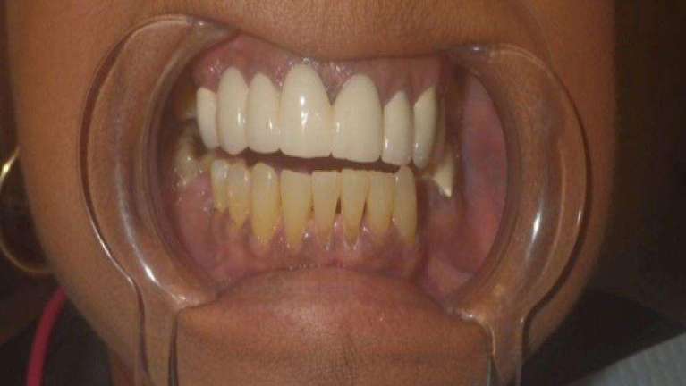
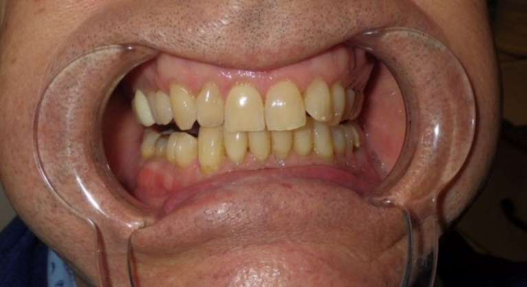
Smile Gallery: Teeth Whitening

Take a look at some of our before and after photos!

Have Questions? Get in Touch
Wonderful Work

After I had my annual check up and a wonderful cleaning job, I got the Zoom whitening which was on sale. I wasn’t exactly sure what to expect even though they were extremely thorough with the instructions and the paperwork which clearly explained everything. But it went very well and Jenn, who was performing the procedure was extremely thorough and fantastic! She did a fantastic job of covering all of the gum tissues in order to keep them from becoming irritated. I was amazed at the care she provided! and when it was finished, I could see a difference in my tetracycline-stained teeth! They turned out better than I could have ever imagined, and I’m so thankful that I was able to get this done, and for Jenn’s wonderful work!

- Dianne