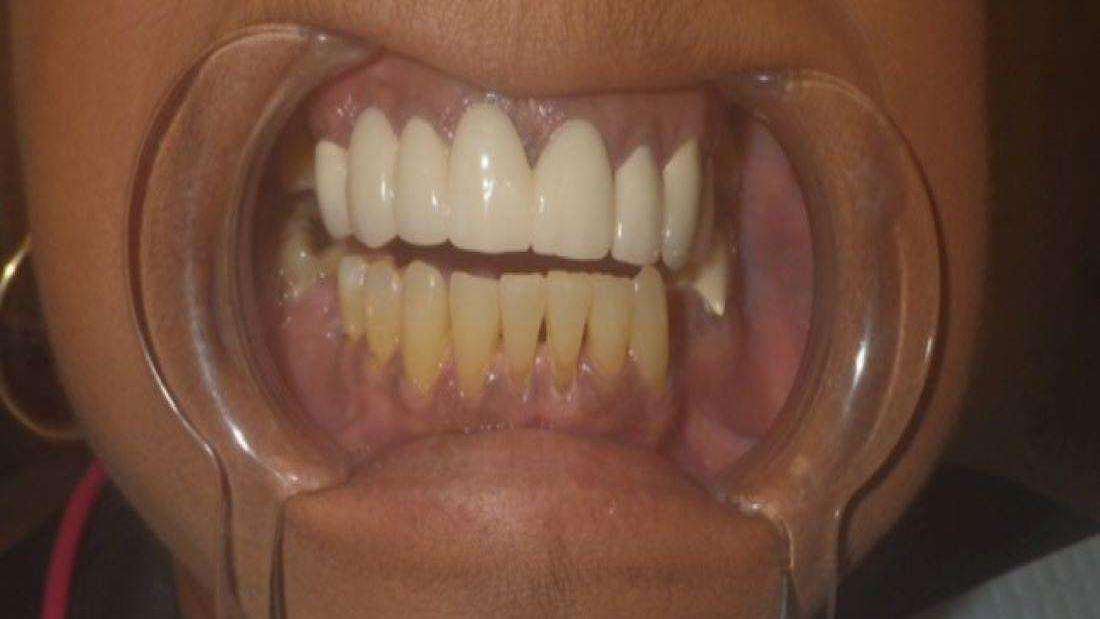
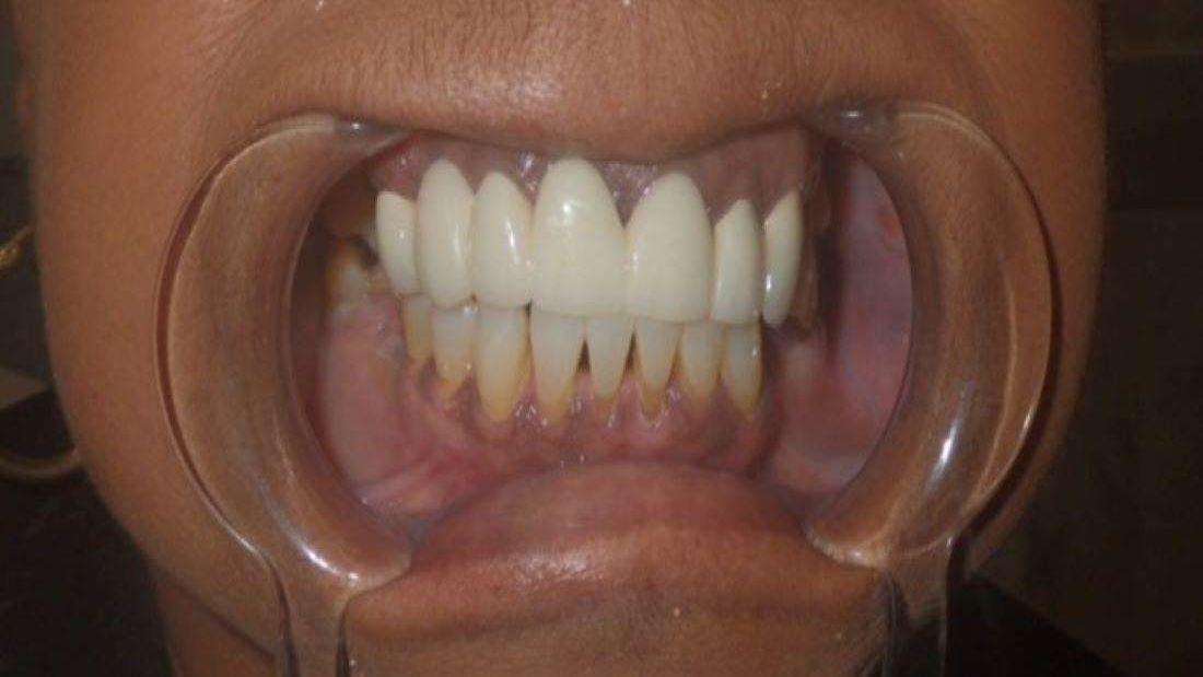
Zoom Whitening

This professional teeth whitening treatment improved tooth brightness and evened out overall shade for a cleaner, more polished smile.

Related Services:

Teeth Whitening
Close up of teeth before whitening at dentist in Brandon, FL Results from teeth whitening at dentist in Brandon, FL
Getting an appointment is fast and easy!