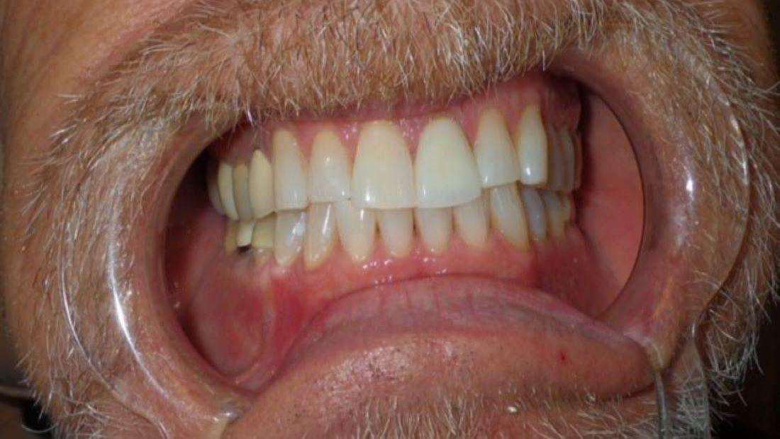
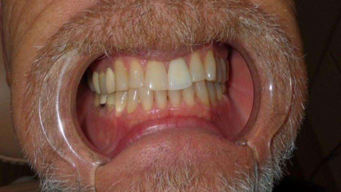
Zoom Whitening

This Zoom! teeth whitening treatment enhanced the natural brightness of the smile, delivering a cleaner, more vibrant overall appearance.

Related Services:

Teeth Whitening
Close up of teeth before Zoom! whitening in Brandon, FL Results after Zoom! teeth whitening in Brandon, FL
Improve your smile today – call to schedule a consultation!