Composite Fillings

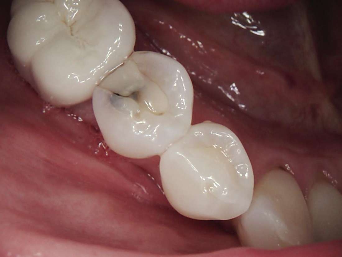
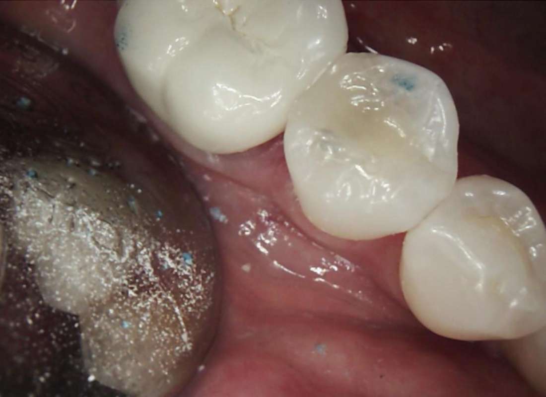
This patient presented with a tooth compromised by decay. Our dentists removed the decayed portion of the tooth, filling it in with tooth-colored composite resin that we customized to blend seamlessly with their tooth. 

Composite resin comprises micro-particles of resin and glass that we custom shade and bond directly to your tooth, making it durable and aesthetic.  

How Long Do Tooth-Colored Fillings Last?

Composite resin fillings can last seven to twelve years with excellent home care and regular dental checkups. 

Composite resin is not just for fillings. We can also use it to address a range of minor cosmetic concerns, such as chipped or broken teeth, gaps between teeth, and tooth size discrepancies, providing a comprehensive solution to your dental needs. 

For more information on what's possible for your smile, contact your cosmetic dentist in Brandon, FL, at (813) 689-5928. 

Related Services:

General Dentistry
Patient teeth before composite fillings in Brandon, FL Patient teeth after composite fillings in Brandon, FL
Have Questions? Get in Touch