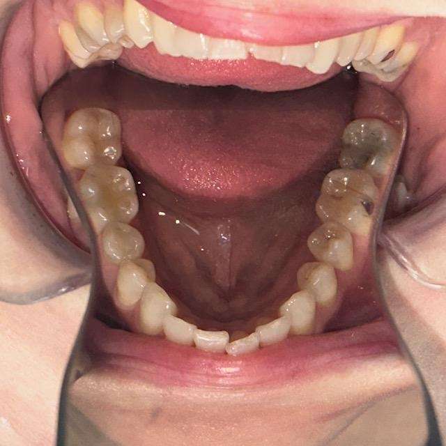
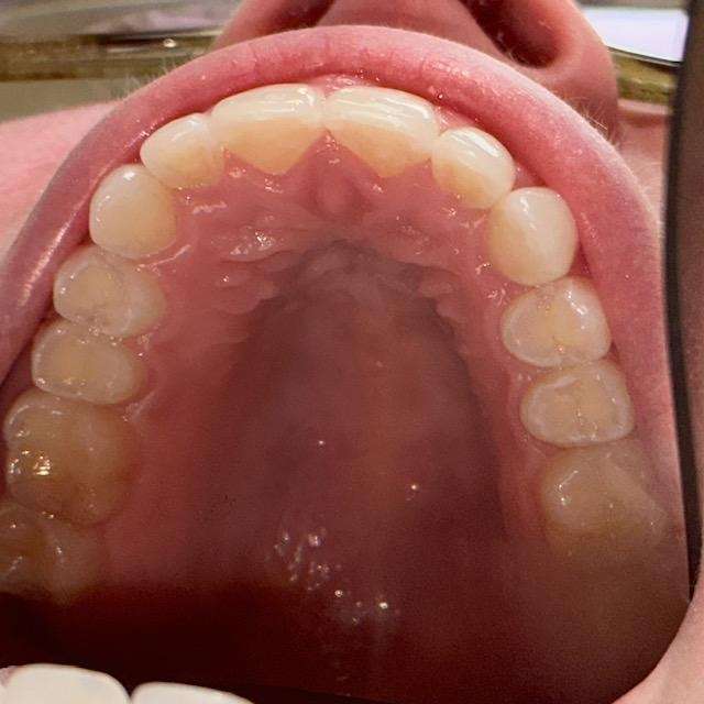
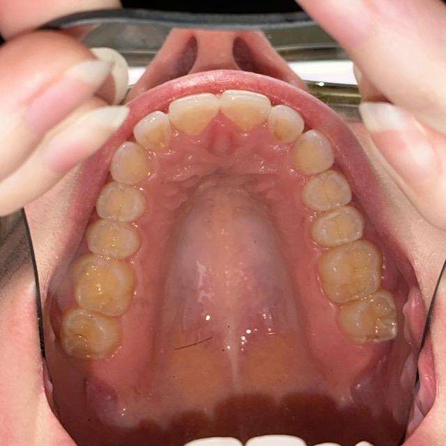
Smile Gallery: Invisalign® Clear Aligners

Take a look at some of our before and after photos!

Ready to book an appointment?